tratamento dentário infantil
O tratamento dentário infantil é uma especialidade dentária que se dedica ao cuidado oral de bebés, crianças e adolescentes.
Essa área tem como objetivo fornecer cuidados dentários especializados e adaptados às necessidades específicas das crianças, promovendo a saúde oral desde a infância até a adolescência.
O tratamento dentário infantil abrange uma variedade de serviços, incluindo exames de rotina, limpeza e polimento dos dentes, aplicação de flúor, selantes dentários, tratamento de cáries, tratamento de dentes danificados ou fraturados, correção de má oclusão (mordida desalinhada) e educação em higiene oral.
Um dos principais objetivos do tratamento dentário infantil é criar um ambiente acolhedor e amigável para as crianças, de modo a promover experiências positivas e reduzir a ansiedade relacionada ao tratamento dentário.
Agende a sua consulta agora!
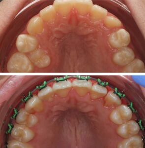
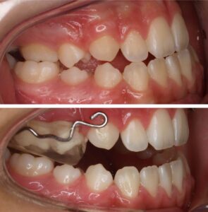
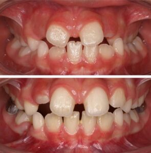
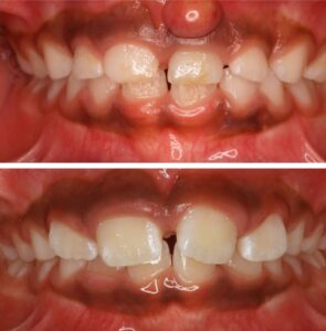
casos clínicos
Marque a sua consulta agora!
Após efetuar o agendamento online, você receberá um contato das nossas atendentes para verificar a disponibilidade de horário ou realizar um reagendamento para uma outra data ou hora. Somente após essa comunicação é que a consulta será oficialmente marcada.




